Estetska Stomatologija
Estetska Stomatologija


Predstavlja kolekciju svih grana stomatologije koja koristi visoko kvalitetne estetske materijale kako bi Vi imali osmeh koji ste oduvek želeli. Divan osmeh može povećati Vaše samopouzdanje i stoga Vaš uspeh, kako u društvenom i profesionalnom, tako i u privatnom svetu. Istina je da ljudi stvarno ostavljaju prvi utisak o sebi na osnovu njihovog izgleda i zato današnja stomatologija nudi bezbolnu putanju do savršenog osmeha i stoga ne dozvoljava lošim zubima da narušavaju Vaše samopouzdanje i da to utiče na Vaš privatni i profesionalni status. Ukoliko Vam je potrebna pomoć oko dizajna Vašeg holivudskog osmeha, ne ustručavajte se da nas kontaktirate jer pruži ćemo Vam sva moguća rešenja da do njega dođete.

Dobra priprema i plan terapije daju dobar rezultat
Estetika je u tesnoj vezi sa zdravljem i funkcionalnošću. Nema lepog osmeha bez zdrave gingive i zuba. Kada smo sve što smo mogli korigovali, sledeći važan korak je analiza. U tu svrhu uzima se otisak kako bi se dobro analizirao model i napravio adekvatan plan terapije. Uobičajeno je i slikanje pacijenta kako bi novi oblik zuba uskladili sa oblikom lica. Nakon sveobuhvatne analize zajedno sa pacijentom donosimo odluku o terapiji koja će nas najbolje dovesti do željenog rezultata. Uz ovakvo zajedničko angažovanje i saradnju, rezultati neće izostati. Ipak moramo da naglasimo da se ove promene ne dešavaju preko noći . Nažalost uz primenu svih novih tehnoloških mogućnosti i dalje ne možemo da utičemo na biološki odgovor tkiva koji zahteva vreme.

Možemo da korigujemo svaki problem vezan za estetiku zuba

Estetska Stomatologija


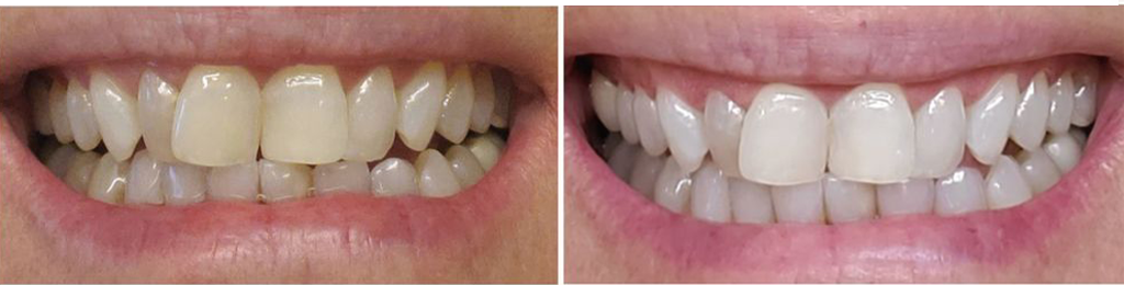
Tamni ili žuti zubi.

Brojni su uzroci promene boje zuba. Mogu se podeliti na spoljašnje i na unutrašnje. Spoljašnji uzroci promene boje zuba najčešće su životne navike poput pušenja kao i konzumiranja kafe i tamnih pića. Unutrašnji uzroci obojenja zuba su kompleksniji, a mogu biti posledica odlaganja pigmenata u samu strukturu zuba, kao npr. obojenje od pojedinih antibiotika, posledica genetike, starenja ili usled odumiranja živca unutar zuba. Jedno od najdelotvornijih profesionalnih rešenja je izbeljivanje zuba kojim se ova estetska problematika može rešiti. Odgovarajućim sistemom beljenja nakon 30-45 minuta tretiranja lampom zubi postaju za 2 do 4 nijanse svetliji, što takođe zavisi od mnogo individualnih faktora. Trajnost izbjeljivanja je individualna i potpuno zavisi od Vaših navika, ali u proseku dve godine s tim da zubi nikako ne potamne do te mere kao što su bili pre prvog izbeljivanja. Izbeljivanje zuba je proces eliminacije mrlja i diskoloracija sa površina zuba, a ujedno u toku tog procesa, boja zuba postaje belja. Izbeljivanje zuba je laka i vrlo popularna procedura. Razlikujemo ordinacijsko i kućno izbeljivanje zuba. Pre same procedure neophodan je pregled zuba da bi se utvrdilo da li su zubi pacijenta pogodni za sam tretman a takođe kako bi se pacijent informisao o svim efektima, mogućim rizicima i neželjenim pojavama.

Nepravilni zubi.
Vrlo malo ljudi ima savršene zube, između ostalog i zato što svako nasleđuje različite karakteristike od roditelja, a ponekad se one međusobno ne slažu. Položaj zuba u zubnom luku u velikoj meri utiče na izgled i ravnotežu osmeha. Među najčešće ortodontske nepravilnosti ubrajaju se kompresije zubnih lukova i dijasteme, odnosno, zbijeni i razmaknuti zubi uzrokovane veličinom zuba, vilice i usana, nepravilnim položajem jednog zuba ili više njih, preranim gubitkom mlečnih zuba, zubi koji nikada nisu izrasli. Obe nepravilnosti moguće je rešiti ortodontskom korekcijom, ako to proporcije dopuštaju, ili pak protetski – mostovima ili krunicama postavljeni na implantatima.

Nedostatak zuba.
Gubitak jednog ili više zuba može narušiti i funkciju i estetiku u ustima. Osim toga nedostatak zuba utiče i na fonaciju jer se u govoru može promeniti način kako izgovaramo pojedine reči odnosno slova. Uzroci nedostatka zuba su mnogi od karijesa koji rezultira vađenjem zuba, traumatske ozlede pa do parodontopatije (parodontoza), odnosno bolesti zuba i potpornog zubnog tkiva zbog kojih dolazi do rasklimavanja istog. Postoje i slučajevi urođenog nedostatka zuba što se naziva hipodoncija. Nezavisno od samog razloga izgubljeni zub mora se nadomestiti, a terapija zubnim implantatima praktično je dugotrajno, estetsko i funkcionalno rešenje koje pruža potpun i zdrav zagriz te predivan osmeh. Implantati koje koristimo u našoj ordinaciji napravljeni su od biokompatibilnog materijala koji srasta s kosti te ga organizam ne prepoznaje kao strano telo.

Vidljive desni-Gummy Smile.
Sa stajališta estetske stomatologije poželjno je da se kod osmeha, osim prednjih zuba, vidi do 1 mm zubnog mesa. Međutim, ponekad se vidi previše zubnog mesa, a ako su time zahvaćeni svi gornji prednji zubi, govorimo o gummy smile-u. Uzroci gummy smile-a su ubrzan rast zuba kod kojeg se javlja prekrivanje krunice zuba tkivom zubnog mesa, kao i preintenzivan rast gornje vilice. Zavisno od veličine osmeha, za korekciju se primenjuju različite procedure. Najčešće se primenjuje gingivektomija (rezanje i oblikovanje viška zubnog mesa) i produženje kliničke krune zuba. Druga je metoda, ako su potrebne veće korekcije, klasična hirurško-parodontološka metoda. Navedeni zahvati mogu se i kombinovati ako je potrebna zahtevnija korekcija.

Telefon

0653909009

Adresa

Školska 41 - 22221 Laćarak

Radno vreme

pon-pet: 9:00 - 13:00 i od 16:00 - 20:00
nedelja: zatvoreno 

© Copyright 2021 Stomatologija Mihajlović